歯ぎしり・食いしばり

    歯ぎしりの原因と治療法

    佐賀市の歯医者、佐賀ん歯科・こども歯科で歯ぎしりの治療

    人は誰でも歯ぎしりをすることがありますが、毎晩の歯ぎしりや強い食いしばりは単に眠りの妨げになるばかりでなく、確実に歯や顎の関節を破壊します。
    磨耗して歯が割れる、折れる、知覚過敏、歯周病が悪化し歯が抜けるなどの原因となるため注意しましょう。
    歯ぎしりは、睡眠中に顎を左右に動かしながら、「ギリギリ」「ボリボリ」と騒音を発生させる特徴があります。
    音が出るような歯ぎしりは歯の破壊、磨耗が進み接触画積が増えたときに現れます。
    他人の睡眠の妨げとなると同時に相当の力が歯に加わるため歯が削れたり折れたりします。

     

    歯ぎしりの原因

    • ストレス
    • 不良な咬みあわせ
    • 日常の食生活(柔らかい物ばかり好む、あまり咬まないなど)
    • 偏咀嚼(片側ばかりで咬む)

     

    歯ぎしりの種類

    • グラインディング
    • 就寝中に歯をこすり合わせるタイプをいいます。
      ギリギリと独特の音がするため、周囲の人が気づきやすいのが特徴です。

    • クレンチング
    • 就寝中だけでなく、日中も常に歯を強く噛みしめているタイプをいいます。
      音がしないため、本人も周囲の人も気づきにくいのが特徴です。

    • タッピング
    • カチカチと歯を鳴らすタイプをいいます。
      グラインディングやクレンチングと比べて、 本人が気づきやすいのが特徴です。

     

    歯ぎしりの本当の恐ろしさ

    歯ぎしりというと、多くの人は「就寝中に歯が強く擦れ合って、ギリギリと音を出してしまう、ただの癖」と軽く考えています。しかし、歯科医の立場からすると、それは間違っています。
    歯ぎしりや食いしばりが口腔にもたらす悪影響は、みなさんの想像をはるかに超えるものです。
    思いっきり歯をぎゅっと噛みしめてみて下さい。限界まで噛みしめようと思っても、 ある程度の力を入れた時点で「これ以上は危険」というのを感じるところがあると思います。睡眠中は意識がなく、噛みしめの力をコントロールできないので、睡眠中の歯ぎしりは、起きていて意識のある状態よりも大きな力が生じてしまいます。
    この大きな強い力によって、歯や歯肉や顎がダメージを受けます。(起きている時の噛む力が最大で約60㎏に対し、睡眠中の「歯ぎしり」による力は、100㎏以上もの力が歯にかかるといわれています。)

    佐賀市の歯医者、佐賀ん歯科・こども歯科で歯ぎしりの治療

    歯に対しては、咬合面がすり減ってしまったり、歯にひびが入ったり、最悪の場合は歯が折れてしまうこともあります。また上下の歯が強く噛み合うことで歯にたわみが発生し、歯の根元がえぐれてしまったり(くさび状欠損)、虫歯でもないのに 歯がしみる(知覚過敏)症状が起こることがあります。
    歯肉に対しては、歯周病を進行させ、歯の動揺(グラグラ)を引き起こします。 その多くは、大きな強い力によるダメージが原因となります。
    また、骨の変形(骨隆起)、頬粘膜や舌の圧痕、顎関節症、肩こりや偏頭痛などを 引き起こす場合もあります。
    肩こりや偏頭痛などをを引き起こす場合もあります。

     

    歯ぎしりの口腔内所見

    佐賀市の歯医者、佐賀ん歯科・こども歯科で歯ぎしりの治療 CASE 01
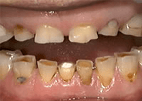
    歯の咬耗(すり減り)

    上下の歯が擦れる事でエナメル質がすり減り、黄色の象牙質が露出しています。

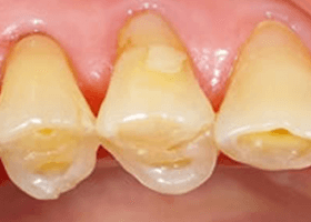
    佐賀市の歯医者、佐賀ん歯科・こども歯科で歯ぎしりの治療 CASE 02
    犬歯、小臼歯のディンプル(溝)

    歯ぎしりによりエナメル質が削られ中の象牙質が露出します。

    佐賀市の歯医者、佐賀ん歯科・こども歯科で歯ぎしりの治療 CASE 03
    大臼歯のディンプル(溝)

    歯ぎしりによりエナメル質が削られ中の象牙質が露出します。

     

    佐賀市の歯医者、佐賀ん歯科・こども歯科で歯ぎしりの治療 CASE 04
    歯の破折

    第一小臼歯が近遠心的に破折しています。

    佐賀市の歯医者、佐賀ん歯科・こども歯科で歯ぎしりの治療 CASE 05
    シャイニングスポット

    歯ぎしりにより金属が長時間何回も擦れ金属の一部がピカピカに研磨されます。写真は上の前歯の裏側ですが、下の前歯と何回も強い力で擦れ合いできた研磨面です。

    佐賀市の歯医者、佐賀ん歯科・こども歯科で歯ぎしりの治療 CASE 06
    舌の圧痕

    歯ぎしりや食いしばりにより、舌の横に歯型の痕がつきます。舌がギザギザになっています。

     

    佐賀市の歯医者、佐賀ん歯科・こども歯科で歯ぎしりの治療 CASE 07
    マイクロクラック
    (歯のヒビ)

    歯の中央に縦に入った亀裂が見えます。強い力(歯ぎしりなど)により歯にヒビが入ってしまった状態です。この状態を放置すると歯が割れてしまう可能性があります。縦に亀裂が確認できます。エナメル質が割れて溝が着色しています。

    佐賀市の歯医者、佐賀ん歯科・こども歯科で歯ぎしりの治療 CASE 08
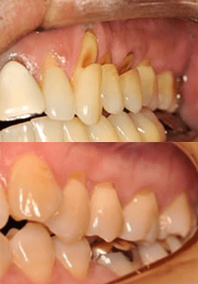
    くさび状欠損
    (歯の根元がえぐれる)

    歯と歯肉の境目がくさび状にえぐれています。

    佐賀市の歯医者、佐賀ん歯科・こども歯科で歯ぎしりの治療 CASE 09
    頬粘膜の圧痕
    (白線)

    歯ぎしりや食いしばりにより頬の内側の粘膜に歯の圧痕がつくことがあります。白い線に見えるため、白線といいます。

     

    佐賀市の歯医者、佐賀ん歯科・こども歯科で歯ぎしりの治療 CASE 10
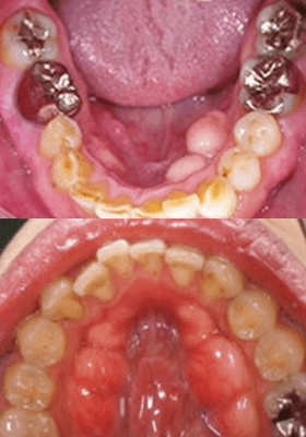
    頬側の骨隆起
    佐賀市の歯医者、佐賀ん歯科・こども歯科で歯ぎしりの治療 CASE 11
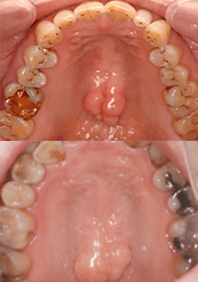
    口蓋(上顎)の骨隆起
    佐賀市の歯医者、佐賀ん歯科・こども歯科で歯ぎしりの治療 CASE 12
    下顎の骨隆起

     

    歯ぎしりの治療法

    歯ぎしりの原因はストレスや目常の悪習慣など、本人が無意識のうちに繰り返されている場合が多いので歯ぎしりを完全に無くす治療法はありません。
    しかし、歯や歯周組織、顎の骨、関節、などに過度な負担をかけないようにマウスピースを装着することが有効です。

     

    マウスピースの使用法

    佐賀市の歯医者、佐賀ん歯科・こども歯科で歯ぎしりの治療

    夜就寝前に上の歯に装着するだけです。
    朝起きたら外して軽く水洗し変形しないよう歯型に戻してケースにいれて保管してください。
    ナイトガードは消耗品です。長期間使用していると穴があいたり、破れたりする可能性がありますが、現在保険のルール上、短期間(約1年以内)での造りなおしは認められておりません。
    1年以内の造りなおしは自費になりますのでご理解ください。

    ナイトガードの種類

    ソフト⇔ハード
    厚み⇒1.0mm 1.5mm 2.0mm

     

PAGE TOP