審美歯科
- 色調や透明感が天然歯そっくりな歯を入れるセラミックス
- 歯を白くするホワイトニング
- 歯肉(歯茎)の黒ずみ除去
- 歯の汚れを落とすクリーニング
-
動機
コーヒーが大好きで毎日数回飲むので歯の色は気になっていたが、最近、口紅をした時に歯がすごく黄色く感じてしまった。
もっと明るい色の口紅が似合うよう若々しくなりたい。 -
患者様の感想
ホワイトニングとクリーニングをして歯の色にムラがなくなって、とても白くなった。クリーニングをすると歯面がツルツルになって気持ちが良いから3ヶ月に1回位したいです。
ホームホワイトニングは、だんだん回数が減っていったので楽にできました。歯が白くなるだけで口紅の似合う色が変わるんですね。若々しくなったと言われます。 -
動機
以前から歯茎の黒ずみが気になっていた。
笑うときも口を大きく開けず、思わず手で口元を隠してしまう……。
口元が気になり、辛い思いをしていた。
最初は歯が黒いのかと思い他院にてホワイトニングもしてみた。
しかし改善されず、歯茎エステを行っているところを探し、来院された。 -
患者様の感想
施術中の痛みはほとんどなく、通常1週間程度でピンク色の健康的な歯ぐきになりました。
歯ぐきが黒ずんでいると、それだけで不健康そうに見えていたのでよかった。 -
担当歯科衛生士のコメント
一時的にメラニン沈着部分は白くなりますが、2~3日して皮がはがれ落ち、その後1~2週間できれいな歯茎になります。その間辛いものや塩味の強いものがしみることがありますので注意してください。個人差によって後戻りする可能性はあります。
特に喫煙者は再沈着する傾向があり今後、喫煙されるとまた元に戻ってしまう可能性があります。
口元を白く、素敵な歯並びにすることで、人生を上質に。歯科治療で貢献します。
清潔感のあるステキな笑顔で、人との出会いがますます楽しくなる。
人との出会いで大切な第一印象は、最初の5秒で決まると言われています。
わずか5秒の間に相手に好印象を与えるのは、
言葉ではなく笑顔です。白くてきれいな歯並びは、笑顔を輝かせます。
白い歯と、くすんだ歯では、年齢まで違ってみえるもの。
輝く笑顔からこぼれる白い歯で、あなたの魅力を最大限に輝かせませんか?
初めて人と会った時の第一印象が非常に重要であることは、みなさんご存知の通りですが、人の第一印象は何で決まるのでしょうか?それは、「容姿・声・しぐさ・身だしなみ」などです。
これらの中でも、最も重要なのは、表情です。表情を表わすのは、目と口元です。
口元に自信が無いために、笑う時や話す時に、口元を手で隠したり、大きな口を開けなかったり、写真に撮られるのが苦手という方もいらっしゃると思います。
このような場合、顔面表情筋が衰えてしまい加齢が進み、美容にも心にも悪影響します。
あなたの個性を輝かせる、口元や表情が作れるようにお手伝いさせていただきます。
無料相談を行っておりますので、お気軽にご連絡ください。
審美歯科の治療は、一般歯科の治療における歯の機能回復だけではなく、天然歯に近い質感を持った、自然な美しさの歯を手に入れることにより、患者様の笑顔を取り戻して外見の美しさと生活の質(QOL)を向上させます。
審美治療の種類
審美治療は大きく分けて以下の4つがあります。
1000本以上の前歯セラミックを手掛けた豊富な経験を積み重ねたからこそ、分かることがあります。
それは、歯をキレイにすることで、人は幸せになれるということ。
誰もが美しく、自らを輝かす能力を秘めています。
歯に悩みがあることで、思いっきり笑えていない患者様をたくさん診てきました。
歯がキレイになると、顔の印象も変わり、自然と100%の笑顔ができるようになります。
思いっきり笑顔で過ごしていると、必ず幸せが寄ってきます。
この喜びを一人でも多くの方に伝えたく、日々治療に励んでいます。
自分も歯で悩んでいたからこそ、患者様の気持ちがわかります。
遠慮なく思いを伝えてください。
当院は、歯の悩みを最善の方法で仕上げる自信があります。
何とかお力になりたいのです。
患者様にできるだけわかりやすく、治療について説明させていただきます。
患者様の人数を制限することで、十分な時間を取って、カウンセリングしております。
また、当院では、最新の医療機器を最新の技術で提供しております。
でもそれはごく当たり前のことであり、一番大切にしていることは、患者様との信頼関係だと考えております。
より多くの方々に、美しい笑顔を手に入れていただけるよう、努めて参ります。
どんなお悩みでも結構です。あなたの良き歯のパートナーとしてお選びいただければ幸いです。
セラミックス
セラミックスの特徴
金属を使わないので、自然な美しさを回復できます。
気になる奥歯の金属や前歯のムシ歯を、セラミックス素材だけで歯本来の色調や質感を持った自然な感じに回復する最新の治療法「オールセラミックス治療」。
白く、健康的な歯を取り戻し、美しい口元に彩られたあなたの笑顔は、見る人にすてきな印象を与えることでしょう。特に女性の方や人前に出るお仕事をされる方で「銀歯が気になる」「歯を白くしたい」と思われるかたのニーズに応えてまいります。
天然歯に近いナチュラルカラーです。
セラミックスの最大の特長は、他の素材にくらべて天然歯に最も近い色調と透過性を表現できることです。
進行したムシ歯を治療する場合、今までは金属のクラウンをメインに、目に見える部分だけを歯の色に近いセラミックスで覆うことで見た目をよくしていました。オールセラミックス治療の場合は、そのすべてにセラミックスを用いるため、驚くほど自然な感じに仕上がります。
身体にやさしい素材です。
セラミックスは生体親和性が高いため身体にやさしく、金属アレルギーの心配もありません。
耐久性に優れ、長持ちします。
セラミックスは非常に高い強度をもつため、欠けたり擦り減ることがほとんどありません。
また、歯とほぼ同じ硬さですから、噛み合わせ相手の歯にも優しく安心です。
歯肉の異変や、金属の露出もありません。
変色しにくいことも、セラミックスならではの特長です。
治療後の変色がほとんどなく、金属の透過による歯肉の黒変や金属自体の露出もありません。
ホワイトニング
歯を輝く白さにしたい方のために
ホワイトニングはどの歯科医院でやっても同じだと思っていませんか?
当院こども歯科では、口元を明るくすることで、第一印象が良くなり、素敵な笑顔で毎日を過ごしていだたきたいと思っています。
ホワイトニングには2種類あります。
オフィスホワイトニングは歯科医院で特殊な光を照射し歯を白くする方法です。
2回くらいで白くなるのですが、白さが持続しにくいのが特徴で後戻りしやすいです。。
歯の白さを維持するためには数ヶ月に1度の施術が理想的です。
また長時間、特殊な光を当てることで歯面に熱がこもり、施術後は一時的にしみるような痛みがでやすいと言われています。
ホームホワイトニングは歯型を取り、ご自身に合ったオーダーメイドのマウスピースを作製し薬剤を入れて、はめて行うホワイトニングです。
継続するとオフィスホワイトニングよりも白くなります。ちょっとずつ白くなるので白さが持続しやすく痛みが少ないのが特徴です。
また、毎日の食生活などで、後戻りした場合は薬剤のみ購入し、再び歯を白くすることができるので経済的です。
薬剤は受付にて3800円で販売しています。
当院こども歯科ではホームホワホワイトニングを行っております。日本審美歯科学会認定の歯科医師が在籍していますので安心してご来院ください。佐賀市内以外からの遠方の方にもご好評いただいております。
ホワイトニングは毎月行くネイルや美容室と比較すると、かなりお得で確実に効果のある美容法です。
『歯が白くなるだけで毎日の生活が明るくなった、自信を持って大きく笑えるようになった』といった、嬉しいお声ばかりです。
当院では「患者様一人ひとりに心を込めて丁寧に対応し、白い歯になり笑顔で喜んで帰っていただく」ことを第一にしております。
白い歯になった患者様の笑顔が、何よりも私たちのやりがいとなっております。
無料相談も実施しておりますので、どうぞお気軽にご予約ください。
透明感のある輝く白さになる、痛みがないホワイトニング法
白さUPの効果が違います。
当院のホワイトニングは2度で、平均3~4段階も白さがアップします。※歯の色は全部で16段階
ホワイトニング先進国アメリカNO.1の最新の薬を用いているので即効性が高く、さらに痛み予防に効果が高い硝酸カリウム・高濃度フッ素、ACP等を配合し、PHを最適にしています。
ホワイトニングジェルはハイブリッドアパタイト混合により、透明感のある自然な白い歯を手に入れることができます。
これまでのホワイトニングは、薬剤とマシーンの刺激で“痛い”というのが常識でしたが、当院では快適に施術を受けていただけます。
(元々、知覚過敏症をお持ちの方など,万が一、痛みが出た場合も、患者様に合わせてその都度、弱めたり痛み止め処置を行いながらも可能なので御安心下さい。)
※1度のホワイトニングでどの程度白くなるかは個人差があります。
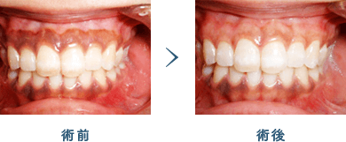
ホワイトニング 症例
40代・女性
| 施術の種類と回数 | オフィスホワイトニング…2~3週間おきに3回 |
| 期間 | 約30日 |
| 費用 | 20,000円〜30,000円 |
| メインメンテナンスの頻度と費用 | ご自宅で |
歯肉(歯茎)の黒ずみ除去(ガムピーリング、歯肉エステ)
歯肉エステで健康的な歯茎に!笑顔にも自信がつきます
歯肉(歯茎)の黒ずみ(メラニン色素)を除去して美しい健康的なピンクの歯肉(歯茎)に再生し、大きな口でも自信をもって笑う事ができます。
当院では薬剤と最先端の生体に負担の少ないレーザーを使用したメラニン除去を行っています。施術中の痛みはほとんどなく、通常1ー2週間程度でピンク色の健康的な歯ぐきになります。処置時間はメラニン色素の濃さにもよりますが15分程度が目安です。
ただし、喫煙すると、再発する可能性が高くなります。
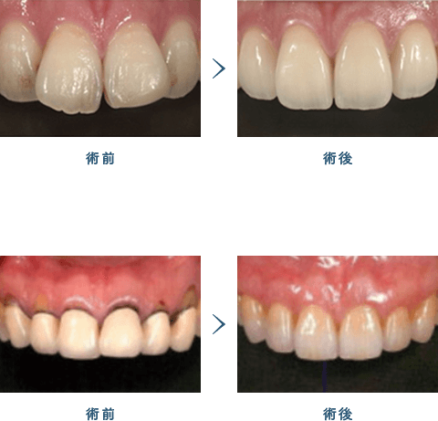
歯茎の黒ずみ除去 症例
20代・女性
| 施術の種類と回数 | 歯肉の黒ずみ、メラニン除去、歯肉エステ2回 |
| 期間 | 1ヶ月 |
| 費用 | 歯茎エステ1回 ¥12,000 |
クリーニング
眠ってしまうほどの気持ちよさ!!
80歳で20本の歯を目指す方に・・・
「キレイ」・「気持ちよさ」・「予防歯科」1度で3つが適う最高のケアメニューです。
“患者様の歯を97.7%守ることができる”。
そう立証したアクセルソン博士が提唱する本当のPMTCを実践しており、患者様の歯を生涯に渡って守ることができます。
患者様が“磨き残し”をしてしまう、もしくは“磨きにくい”場所をリスク部位と言います。そのため、リスク部位は患者様により異なります。
リスクの高い所や自分では落とせない茶渋やコーヒーの着色などガンコな汚れを落とし、ツルツルの歯にします。
施術中はあまりの気持ちよさにお客様のほとんどは思わず眠ってしまうほど。
定期的なクリーニングは、歯周病・虫歯の予防や進行の抑制に有効です。
PMTCとは
※PMTC=プロフェッショナル・メカニカル・ティース・クリーニング
歯に定着して個人の歯みがきでは落とすことの出来ない汚れや、プラークの元となるバイオフィルムを、歯科医師・歯科衛生士が専門の機器や技術を使って除去することです。
虫歯の予防、歯周病対策に加え、口臭対策や歯の健康維持に非常に効果的です。