歯周病治療

    歯周病はどこの歯科医院に行っても治らない、
    あるいはすぐに再発してしまうと思っていませんか?

    歯周病とは

    歯が動く
    歯ぐきが腫れて痛い
    歯ブラシした時、出血する」
    歯がグラグラして歯に隙間があいている
    口臭がある

    上記の症状がある方の大半は歯周病です。
    歯周病は放っておくと歯を失ってしまう、歯ぐきと歯を支える骨の病気です。
    歯周病は成人の80%がかかっていますが虫歯ほどはっきり自覚症状が出ないため、気がついた時は重度の事が多いため非常に恐ろしい病気なのです。

     

    なぜ歯周病になるのでしょうか?

    • 歯周病原菌
    • 口の中の細菌、T.デンティコラなどの原因菌(歯周病原菌)

    • プラーク
    • 歯の表面に形成されたプラークには様々な細菌が存在し、病原菌を含むプラークが炎症を引き起こします。

    • 歯石
    • プラークは時間が経つと歯石になります。歯石は硬く歯に付着すると、歯ブラシで除去することは出来なくなります。

    • 歯ぎしり、くいしばり
    • 歯ぎしりや、歯をくいしばることで無意識のうちに過大な力が加わっています。歯を支える骨に大きな負担がかかります。

    • 喫煙
    • 血行障害を起こし口の中の抵抗力が弱まります。

    • 清掃不良
    • 食後のブラッシングを習慣化しましょう。

    • その他のリスクファクター
    • 糖尿病、ストレス、偏った食生活、薬剤服用なども歯周病の進行を促進することがあります。

     

    歯周病を放置するとどうなる?

    歯周病とは?

    歯と歯茎の溝(歯周ポケット)からプラーク内の歯周病となる原因細菌が侵入することで、菌が出す毒素によって歯肉が炎症を起こしてしまう病気のことです。この炎症が、歯肉にとどまらず、歯を支えている歯槽骨にまで及ぶと、骨の吸収が進み歯がグラグラしはじめ、最悪の場合、歯が抜け落ちてしまったりすることもある恐ろしい病気です。

    歯周病の主な症状

    • 歯がぐらつく
    • 歯磨き時、歯茎から出血がみられる
    • 口臭がある
    • 起床時、口の中のネバつきが気になる
    • 歯茎が腫れている
    • 歯茎が下がったような気がする

    上記の項目に当てはまる方は、歯周病になりやすい傾向があります。
    初期段階の歯周病は自覚症状がない場合も少なくありません。歯周病の早期発見のためにも、定期的に歯科医院を受診することをおすすめします。

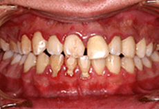
    佐賀市の歯医者、佐賀ん歯科・こども歯科で歯周病治療 歯肉炎~軽度の歯周炎

    歯と歯ぐきの間にプラークがたまって歯ぐきが腫れ、出血しやすくなっています。歯を支える骨にはまだあまり影響がありません。

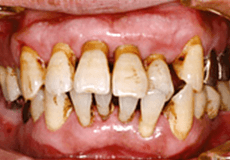
    佐賀市の歯医者、佐賀ん歯科・こども歯科で歯周病治療 中等度歯周炎

    歯周ポケットが形成され、歯石が深部まで付着し歯を支える骨を半分くらい失っています。

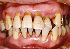
    佐賀市の歯医者、佐賀ん歯科・こども歯科で歯周病治療 重度歯周炎

    歯を支える骨がなくなってきて歯がぐらつき、このまま放っておくと歯が抜けてしまいます。歯ぐきが下がる、膿がでるなどの症状もみられます。

    歯を失う原因はさまざまですが、そのうちの大きな割合を占めているのが虫歯と歯周病です。特に歯周病は、歯を失う原因となるだけではなく、全身疾患とも深く関連していることが近年の研究からも明らかになっています。

    将来、ご自身の歯を1本でも多く残し、長期間に渡って全身の健康な状態を維持していただくために、歯周病予防の徹底が非常に重要と考えます。
    当院・こども歯科では、予防歯科をはじめ、歯周病治療にも力を入れて取り組んでおりますので、どうぞお気軽にご相談ください。

     

    歯周病はどうしたら治るのでしょうか?

    ご自身で、ご自宅で、毎日の習慣としてしていただく【セルフケア】と歯科医師などが行なう【プロフェッショナルケア】が必要です。
    患者様と歯科医師・歯科衛生士が連携し、歯周病を治していきます。
    歯周病の治療には、相応の期間がかかります。根気よく治療を続けましょう。

    治療にあたってまず必要なのは「歯周ポケットの深さ」を調べることです。
    この検査をしない医院が多いのですが、これでは歯周病の診断をしないで歯周病治療をすることになり的確な治療を受けることはまず不可能です。このポケットの深さが2mm以内であれば「健康」であり、3mm以上であれば「歯周病」という病名がつきます。
    ポケットが2mm以内であれば歯ブラシでポケット内のクリーニングが可能であることが大きく影響しています。この1mmには大きな意味があるのです。
    そして、このポケットの測定によって歯周病である3mm以上のポケットの部位を重点的にクリーニングすることが可能になります。
    歯周病の原因はこの歯周ポケットの中の細菌ですから、その細菌を完全に除去できれば歯周病は治ります。

    しかし、深いポケットの中の目に見えない細菌を除去すること、除去できたかどうか確認することは非常に難しことです。
    ここが歯周病治療が難しいと言われる所以です。

    しかし、ここからが当院の他院との大きな違いが出てきます。
    その治療内容は基本に忠実すぎるくらい「忠実」であるということです。深いポケットのクリーニングを行えば「必ず炎症は少なくなります」。
    絶対に少なくなります。
    この後、1~3ヶ月後に再度ポケットを測定いたします。
    ポケットが浅くなり治癒していればそれで終わりですが、深いままでしたら再度クリーニングを行います。
    このクリーニング→検査→クリーニング→検査…を連続して行っていきます。
    それらの連続した治療で90%以上の方の歯周病が治ります。
    これで治らない時のみ「歯周外科」つまり外科的に細菌を除去する方法を選択いたします。(再生療法は骨の形態がその条件に合えば可能な治療になります。)

    そして、治療が終わっても100%の患者様には「リコール」が必要になります。
    歯周病のリスクの大きさによって3ヶ月から6ヶ月の期間になります。時間がかかり治療が終わってからもリコールが必要になる治療ですが、それだけ簡単ではなく再発しやすい病気だということが言えます。
    しかし、このシステムにより歯周病が治り歯を抜くリスクが少なくなってきたことは他の医院には負けない自負できるところであると思っております。

     

    まずは、歯ブラシでセルフケアを。

    佐賀市の歯医者、佐賀ん歯科・こども歯科で歯周病治療

    「なんだ、歯ブラシか!毎日磨いてるよ~」と思われる方が多いようです。
    たかが歯ブラシ、されど歯ブラシです。磨いているようで、磨けていない人が大半です。
    歯磨き粉をたっぷりつけて満足していませんか?
    歯ブラシの毛先をしっかり歯と歯ぐきの付け根に当てて磨いていますか?
    チャッチャッとやって終わりにしていませんか?
    時には、歯ブラシの仕方を歯科医院でチェックした方がいいでしょう。

     

    歯ブラシでも取れない汚れ(歯石)を歯医者で取る。

    歯周病の原因は、お口の中のバイ菌。 バイ菌(細菌)の固まりが歯石です。
    歯石はどんな硬い歯ブラシを使っても取れないのです。
    ですから、歯医者で専用の器械を使って、歯石を取ることが大切なんです。
    そして、歯石が溜まらないように、3~6ヶ月に一度は定期的に歯医者で掃除することが大切。
    また歯石が付く頻度は個人差があるので、詳しくは先生に相談してみて下さい。
    「歯石なんて、付きづらい体質だから。そんなの関係ない」というあなた! 口の中のバイ菌(細菌)は目に見えない位小さく、また、数百種類のバイ菌がウヨウヨいるのです。
    また、歯石は歯ぐきの内側に入り込む為、やっぱり定期的に歯医者に行くことをお勧めします。

    歯石を取る為の歯のクリーニングは気持ちいいですよ。
    みなさんも家の掃除は定期的しっかりやりますよね。
    また、天気の良い日には、愛車をピッカピカにワックス掛けしたり掃除しますよね?
    掃除した後はどうですか?やって良かったと感じるでしょう。歯のクリーニングもそうなんですよ。

     

    当院での歯周病治療について

    佐賀市の歯医者、佐賀ん歯科・こども歯科で歯周病治療

    当院の治療法は、世界で認められたスエーデン、イエテボリ大学のLindhe教授により証明された方法と、歯周内科療法。

    この2つの治療法で開院以来、30年以上歯周病を治療し、その結果を出してきました。
    歯周内科療法、簡単に言えば、「歯周病菌の除菌治療」です。
    細菌の除菌に合う薬や歯磨き粉を使用して口の中をきれいに除菌します。

     

    当クリニックでは、歯磨きと飲み薬で歯周病を治す、新しい治療法『口腔除菌内科治療』を取り入れております。
    熊本県天草の生田斗南先生が提唱された、日本中で注目され、雑誌などでも多数取り上げられている治療法です。
    抜歯するしかないグラグラの歯も残せるようになります。
    この治療法を受けた患者様は、皆さん大変驚かれます。
    この治療法のすごい点は、除菌して汚れを取り除くことで、歯周病によりダメージを受けた歯ぐきや溶かされた顎骨が再生するのです。
    つまり今までなら、抜歯するしかないグラグラの歯も残せるようになります。
    今まで歯周病(歯槽膿漏)の治療は、「歯磨き指導」「歯石除去」「歯周外科手術(重症時)」が中心でした。
    過去に、当院でも、上記の3つを行っても、歯肉からの出血・腫れ・口臭があまり改善しない患者様もいました。
    麻酔をし、歯ぐきを切開して歯周外科をしたにもかかわらず、再発すると、歯科医師も患者様もがっかりし、何か良い治療はないかと探していました。
    探しているなか、国際歯周内科学研究会会長であられる生田図南先生のセミナーを受講し、症例をみさせて頂き、治療効果の高さに驚き、この治療法を導入しました。
    実際、歯周外科手術をしてもあまり改善しなかった患者にこの治療法をしたところ、2週間後には腫れ・出血・膿が止まり、その効果に患者様も驚かれていました。

     

    歯周病専門治療

    プラークコントロールの徹底

    プラーク(Plaque=歯垢)とは虫歯や歯周病の原因となるバイオフィルム、すなわち細菌の塊です。食べかすではありません。
    この細菌を意図的にコントロールすることを『プラークコントロール』と言います。
    一般的にはブラッシングや洗口剤などで汚れを落とすこととイメージされています。
    それらは『セルフケア』と呼ばれ、歯周病治療においても非常に重要です。上記のご自身のセルフケアと合わせて、歯科医院で行う専門的な歯石除去などの『プロフェッショナルケア』と呼ばれるプラークコントロールも不可欠です。
    適切なプラークコントロールを行うことで、ご自身の歯の健康維持に繋がります。そのためにも定期的な歯科検診をおすすめいたします。

    歯科医院でのケアとは?

    以下に、プロフェショナルケアについてご説明します。

    検査・診断

    短期間の間に病態の変化がなかったかどうかをそれまでのデータと比較して問題点のピックアップを行います。
    併せて全身状態の変化についても的確に把握します。

    ブラッシング指導・生活習慣指導

    ブラッシング状態を調べ、効果的なブラッシング指導を行います。併せて生活習慣の改善等を、患者様のライフスタイルなどを考慮しながらご提案致します。

    PMTC (Professional Mechanical Tooth Cleaning)

    歯と歯茎の間や、ブラッシングの困難な部位など、毎日のブラッシングだけではどうしても落とせないプラークが存在します。
    それを歯ブラシや特殊な器具を用いて除去し、クリーンな口腔内環境を獲得します。必要に応じてフッ素入りペーストにてツルツルに磨き上げます。

     

    『歯周組織再生治療』とは

    歯周組織とは、歯を支えている組織(歯槽骨・歯肉・歯根膜・セメント質)のことです。
    歯周病が進行すると、歯周組織が破壊され、ブラッシング時に出血したり、歯がグラグラしてきたりします。

    歯周病治療のほとんどが、その進行を止める治療法であるのに対し、『歯周組織再生治療』とは、失われた歯周組織を回復できる、いわば時計の針を逆回しにする治療法です。

    代表的な治療法
    • 骨移植術
    • GTR法
    • エムドゲインを用いた再生治療

    があげられます。
    これらの歯周組織再生治療法がうまくいけば、他院で『この歯は抜かなければなりませんよ』と言われてしまった重度の歯周病の症例でも、歯を抜かずに保存できる可能性も出てきます。
    ただし、適応症は正しく選択せねばなりません。一例として、エムドゲインを用いた再生治療をご紹介します。

     

    エムドゲインを用いた再生治療

    佐賀市の歯医者、佐賀ん歯科・こども歯科で歯周病治療

    エムドゲインを用いた再生治療とは、歯の発生過程に重要な役割を示す、エナメルマトリックスタンパク質という特殊なタンパク質を含む薬剤を患部に塗ることで、歯が作られる過程を再現することにより、歯周組織を再生させる治療法です。
    日本では1998年より臨床応用されています。これまで世界各国において100万件以上の臨床応用がなされておりますが、副作用の報告はなく、安心して用いることのできる材料です。
    実際に、再生治療後に骨の再生が確認されました。
    再生治療は外科治療を伴います。初期段階の歯周病であれば、外科治療をせずに治療をすすめることが可能であるため、自覚症状がなくても定期的に歯科医院で診てもらうことを強くおすすめいたします。

     

    『歯周形成外科』とは

    佐賀市の歯医者、佐賀ん歯科・こども歯科で歯周病治療

    矯正治療や、過度な歯磨き圧などにより、次第に歯肉が下がることで、歯そのものが長く見えてしまうことがあります。
    このように歯根が露出してしまうと見た目(審美性)が低下する、またむし歯になりやすくなる、歯磨きがしにくくなるといった問題が出てきます。

    当院・こども歯科では、『歯周形成外科』という方法で、専門の歯科医師在籍のもとこの問題点の改善に取り組んでおります。

    歯周形成外科には大まかに分けて以下のような手法があります。

    佐賀市の歯医者、佐賀ん歯科・こども歯科で歯周病治療 結合組織移植術

    この技法は、非常に高度な技術を要します。
    【当院で行った症例】。

    佐賀市の歯医者、佐賀ん歯科・こども歯科で歯周病治療 歯肉弁移動術

    移植片を用いることなく、歯肉の位置を移動することによって露出した歯根面を覆う方法です。

    その他、歯肉弁歯冠側移動術・歯肉弁側方移動術・両側歯間乳頭弁移動術などがあります。
    当院には、豊富な経験を有する専門医がおりますので安心してご来院ください。

     

    「咬合管理」

    佐賀市の歯医者、佐賀ん歯科・こども歯科で歯周病治療
    • 適切な咬み合わせの回復
    • 歯根が露出した歯

    歯周病によって奥歯を失うと、写真のケースのように前歯が突き上げられ、歯並びが悪くなります。

    皆さんは『咬み合せが悪くなっても問題ないのでは?』と思うかもしれませんが、決してそのような事はありません。
    咬みあわせの問題は、歯に加わる力のバランスを変化させ、それが歯周病による歯周組織破壊を引き起こす可能性があります。
    ままた、咬み合せが悪くなることで肩こり、頭痛、腰痛など全身の不調が出る可能性があるとも言われています。
    このようなことから、当院では全身状態を適切に把握した上で、歯周病治療と共に、適切な噛み合せの回復を考慮に入れた包括的治療を実施しております

     

    「ペリオドンタルメディスン」‐全身疾患をも考慮

    歯周病と全身疾患とが相互に関連する(歯周医学)という考え方です。
    『歯周病と全身疾患?』と思われるかもしれません。

    歯周病は、細菌感染に伴う慢性炎症性疾患です。すなわち、体の一部に慢性的な感染巣を抱えていることになります。そのため血液を介して細菌が全身をまわり、全身の様々な病気を引き起こすと報告されています。
    関連性が報告されているものとして次のものがあります。特によく言われるのが、『糖尿病』『心臓病』『早産』と歯周病の関連性です。

     

    糖尿病との関連

    糖尿病は歯周病発症の増加と進行に関与し、歯周病は糖尿病患者の血糖コントロールに悪影響を与えると報告されています。
    重度の歯周病の場合、軽度の人に比べ2年後に糖尿病が悪化している率が6倍高くなるという研究結果が出ています。また、過去の研究より、歯周病治療により糖尿病患者様のHbA1c(糖化ヘモグロビン)を減少できたとの報告もあり、歯周病のような慢性感染症の治療は、糖尿病患者様にとって必要不可欠であることが示唆されています。

     

    心臓病との関連

    歯周病の方は、健康な人に比べ心臓病発症の危険率が1.2~7倍高まるといわれています。
    先にも述べましたが、歯周病は慢性感染性疾患です。慢性的に、すなわち持続的に感染が起こっていると、歯周病原細菌および感染により放出された生理活性物質(炎症メディエーター)が断続的に血管内に入り込みます(菌血症)。
    その結果として感染性心内膜炎を引き起こしたり、あるいは動脈内にアテローム斑を形成して動脈に障害を与え、アテローム性動脈硬化症を誘発したりすると考えられています。

     

    早産・低体重児との関連

    メタ分析より、歯周病の妊婦は健康な人と比べて早産となる危険率が約2倍、低体重児出産となる危険率が約4倍であることが示されています。
    慢性感染症である歯周病により、血行性に直接歯周病原細菌の感染が起こる可能性、あるいは炎症メディエーター(サイトカインやプロスタグランシン)が血行性に子宮筋の収縮を起こす可能性が考えられています。

    また、過去の研究により、歯周病の妊婦で歯周病治療を適切に施された方の早産・低体重児のリスクは、健康者と変わらないレベルにまで低減されることがわかっています。
    他にも『癌』『HIV』『誤嚥性肺炎』『脳卒中』などとの関連性が指摘されています。

    研究が進み、今や歯周病は、お口の中だけの病気ではないというのが専門家の共通認識なのです。
    『歯周病=歯を失う』という理解ではなく『歯周病=命にかかわる可能性もある』という認識の転換が必要です。

    歯周病はしっかり検査・治療を行う事でこれらの全身疾患の改善・予防に繋がるため、定期的なメインテナンスは大切です。

     

    最先端レーザー治療

    歯周病治療のおける医療レーザーの利用は、「革命」といわれています。

    従来の歯周病治療では、長い治療期間を必要としますが、なかなか治りにくいのが現状です。
    レーザーは歯周病を引き起こす歯石を光分解すると同時に、組織・細胞の再生を促す作用があります。そして、歯石を付着しにくくする効果もあります。
    「レーザー治療」と聞くと、「痛いんじゃないか?」と思われますが、わずか1万分の3秒という短い単位で照射されるため、患者様によっては痛みすら感じないこともあります。
    重度歯周病の方でも十分治療できる可能性を持っているのがレーザーです。
    従来の歯周病治療とは異なる治療法ですので、歯科用レーザーによる利点について 分かりやすくご説明していきます。
    まずその利点とは、大きく次の3つです。

    • 安全性
    • 痛みが少ない
    • 音や振動が少ない

     

    治療時間の大幅な短縮

    佐賀市の歯医者、佐賀ん歯科・こども歯科で歯周病治療

    まず、治療時間の大幅な短縮が挙げられます。
    従来の歯周病治療では、歯周病菌の温床となっている歯石を、専用器具を用いて取り除いていましたが、手作業で行うためどうしても時間が掛かってしまい、短時間での治療を希望される方にとっては、ご負担の大きなものでした。
    それに対して、歯科用レーザーには水分を蒸散させる機能があり、レーザー光を照射すると、水分を多く含んでいる歯石は瞬時に光分解されるため、治療時間が大幅に短縮されました。

    殺菌効果

    そして、従来の歯周病治療では取り除くことが難しいとされていた歯周病が出す毒素の除去さえも、殺菌効果を持つ歯科用レーザーでは可能であり、治療経過が非常に良いことも特徴です。

    痛みがほとんどない

    さらに、痛みをほとんど感じないことも歯科用レーザーの利点です。
    レーザー光には強いエネルギーがあり、熱が発生しますが、わずか1万分の3秒という短い単位で照射されるため、痛みがほとんどありません。
    歯科用レーザーは非常に有効な手段とされ、一般的に残すことが難しいとされている歯でも残すことができた症例はいくつもあります。
    ですが、歯周病の進行具合によっては残せない歯は当然あります。
    「自分の歯が残せるか診てほしい」、「歯科用レーザーで歯周病治療をしてほしい」、「レーザーについて話を聞きたい」と思われる方は、ぜひ当院までお気軽にご相談ください。

     

    治療後の症状の変化

    • 噛んだときの痛みの改善
    • 歯ぐきの腫れ改善
    • 歯ぐきからの出血、膿の改善
    • お口の中のネバつきの改善
    • 口臭の改善(歯周病が原因の場合)
    • 歯の動揺(グラグラ)改善
    • 歯のしみる感じ改善

    などの症状の改善が期待できます。 特に、症状が軽症の方よりも、重症の方の方が症状の改善の変化を実感されるようです。

     

    薬で治す歯周病治療

    佐賀市の歯医者、佐賀ん歯科・こども歯科で歯周病治療

    歯周内科治療とは、簡単に言えば「歯周病菌の除菌治療」です。
    お口の細菌の種類や数などを検査し、その細菌の除菌に合う薬や歯磨き粉を使用して口の中をきれいに除菌するので、安全・確実な治療です。
    この方法により、当院でも抜歯・歯周外科の基準も今までと異なり、減りました。

    歯周内科治療の治療方法

    4つポイントがあります。

    1. 菌の確認
    2. 細菌の除菌薬剤の内服
    3. カビの除菌薬剤あるいはカビとり歯磨き剤での歯磨き
    4. 除菌後の歯石とり

    歯周病菌がいるのか、カビが多いのか、あるいは非常にきれいなのか。
    位相差顕微鏡で確認しないと、お薬の選択ができないからです。

     

    歯周病の感染経路

    産婦人科の妊婦指導でも聞いたことがあると思いますが、生まれたばかりの赤ちゃんの口の中には虫歯菌や歯周病菌などは存在しません。
    「人からうつされている」のです。特に家族間で細菌をうつしあっていることが多いのです。

    感染ルートとして考えられるのは、「回し飲み」「回し食い」「箸の使いまわし」「キス」「くしゃみ」などです。
    その中でも、特に危険なのは性感染です。
    せっかく歯周病を治しても、パートナーからうつされたのでは意味がありません。
    パートナーの方と同時に治療なさることをおすすめします。

     

    治療後の症状の変化

    • 噛んだときの痛みの改善
    • 歯ぐきの腫れ改善
    • 歯ぐきからの出血、膿の改善
    • お口の中のネバつきの改善
    • 口臭の改善(歯周病が原因の場合)
    • 歯の動揺(グラグラ)改善
    • 歯のしみる感じ改善

    などの症状の改善が期待できます。
    特に、症状が軽症の方よりも、重症の方の方が症状の改善の変化を実感されるようです。

    治療開始後一週間後の自覚症状の変化

    佐賀市の歯医者、佐賀ん歯科・こども歯科で歯周病治療

     

    薬による歯周病治療終了後に注意すべきこと

    • 歯周病は細菌による感染症なので、再感染に気をつけましょう。
    • 歯周病を引き起こす細菌が感染しにくいように、お口の中を清潔に保つようにこころがけましょう。
      つまり、歯石やカビ菌を定期的に除去して、そして毎日の適切な歯磨きをしましょう。
    • 歯周病を引き起こす細菌が再感染していないか、また、お口の中が再感染しやすい環境になっていないか、歯科医院での顕微鏡を用いた定期検診を受けるようにしましょう。

     

PAGE TOP